Venezuela comenzó a liberar a ciudadanos de Estados Unidos que estaban presos por el régimen chavista
La deslumbrante experiencia de dormir en una cápsula suspendida en la ladera de una montaña
Un argentino pionero recibió en Inglaterra el máximo reconocimiento en educación del carácter
La inteligencia artificial permite identificar a un asesino nazi en una de las fotos más atroces del Holocausto
Cómo un museo cambió la forma de pensar la arquitectura cultural
Método all inclusive: cómo Mar del Plata fue relegada por Uruguay, nuevo rey del fútbol de verano
El Gobierno se comprometió a mandarle fondos a Chubut para atender la emergencia por los incendios
El descargo de Sofía Gonet contra el programa de Vero Lozano
Lilia Lemoine denunció que un hombre atacó su casa a pedradas durante la madrugada
Los duros testimonios desde Irán en medio de la violenta represión a las protestas
El video de Julio Iglesias y Susana Giménez que se viralizó tras las denuncias contra el cantante
Un famoso humorista fue sorprendido por el meteotsunami mientras transmitía en vivo desde el mar
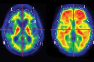
Las devastadoras revelaciones que dejó el escáner cerebral del paciente más joven con Alzheimer
Científicos del Conicet encontraron una nueva especie de dinosaurio que vivió hace 83 millones de años
Qué dijo Maia Reficco sobre los rumores de romance con Franco Colapinto
Sturzenegger celebró las reformas impulsadas por la gestión Milei con un dardo a La Cámpora y salieron a cruzarlo
El “soplón” que volteó a una cúpula policial fue acribillado y tirado en un baldío del conurbano
El sospechoso de matar a una mujer en un country ya había sido condenado por la muerte de su hija
La libertad, en manos de la Justicia
El estreno de Boca en 2026, San Lorenzo, Chelsea vs. Arsenal y más fútbol europeo, y mucho básquetbol
La lechería alcanzó en 2025 su mayor producción de la última década
Murió el expolicía que fue baleado durante un intento de robo en el conurbano
Un futbolista australiano denunció que lo echaron por ser homosexual: la respuesta del club
Marcela Tinayre defendió a Juana Viale luego del supuesto romance de su hija con Mauricio Macri
Se casó con la mejor amiga de su mamá, echó a perder el gran trabajo de su vida y renació detrás del volante
El polo magnético de la Tierra se desplazó y tendrá un impacto crucial en la navegación global y en la tecnología diaria
¿Cuándo empieza el repechaje y quiénes pueden volver al programa?
Más leídas
1Julio Iglesias fue acusado de agresiones sexuales por dos exempleadas de sus mansiones en el Caribe
2Escándalo en la AFA: un sponsor principal interrumpe pagos a los “intermediarios”, exige una auditoría y la renuncia de Tapia
3Quién se fue de MasterChef Celebrity ayer, lunes 12 de enero
4Entradas para BTS en Argentina 2026: qué se sabe y cuánto salen





















