Las emociones inducidas por la música se pueden predecir a partir de escáneres cerebrales
1 minuto de lectura'

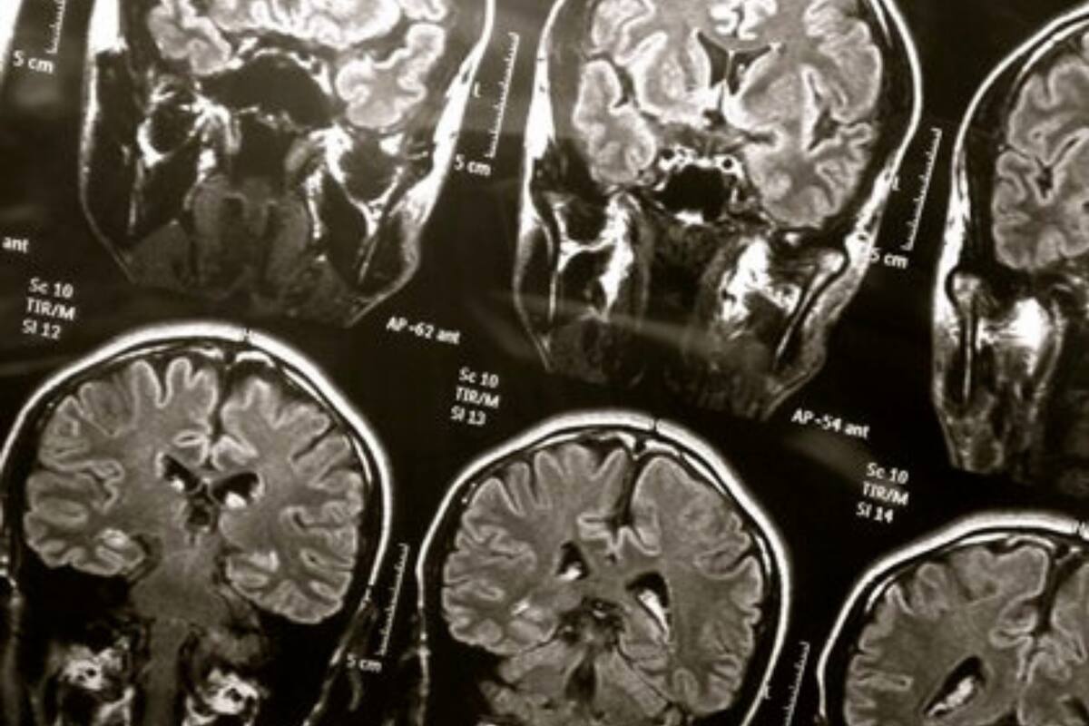
Las emociones inducidas por la música se pueden predecir a partir de escáneres cerebrales, según observaron investigadores de la Universidad de Turku (Finlandia) tras analizar a 102 personas.
Los especialistas utilizaron un algoritmo de aprendizaje automático para mapear qué regiones del cerebro se activan cuando las diferentes emociones inducidas por la música se separan unas de otras. "Basándonos en la activación de la corteza auditiva y motora, pudimos predecir con precisión si el sujeto de la investigación estaba escuchando música alegre o triste. La corteza auditiva procesa los elementos acústicos de la música, como el ritmo y la melodía", explicaron.
Por lo tanto, la activación de la corteza motora puede estar relacionada con el hecho de que la música inspira sentimientos de movimiento en los oyentes incluso cuando están escuchando música mientras se mantienen quietos en una máquina de resonancia magnética.
Los investigadores también descubrieron qué regiones del cerebro se activan cuando los participantes de la investigación vieron videos que evocan emociones fuertes y probaron si las mismas regiones se activaron cuando los participantes estaban escuchando música que evoca emociones.
Los resultados sugirieron que las emociones evocadas por las películas y la música se basan parcialmente en el funcionamiento de diferentes mecanismos en el cerebro. "Las películas, por ejemplo, activan las partes más profundas del cerebro que regulan las emociones en situaciones de la vida real. Escuchar música no activó fuertemente estas regiones ni su activación separó las emociones inducidas por la música entre sí", detallaron los expertos.
Esto puede deberse al hecho de que las películas pueden copiar de manera más realista los eventos de la vida real que evocan emociones y, por lo tanto, activan los mecanismos emocionales innatos. En cuanto a las emociones inducidas por la música, se basan en las características acústicas de la música y están coloreadas por influencias culturales e historia personal.
1Christina Koch, astronauta de Artemis II: “Hacé lo que te asusta, el camino de menor resistencia no suele ser el que más beneficios aporta al mundo”
2Christina Koch, astronauta de Artemis II, durante su recuperación física en la Tierra: “Supongo que tendré que esperar un poco para volver a surfear”
3Es oficial: la NASA ya tiene fecha para la misión Artemis que bajará a la Luna
4Cuáles son los cambios físicos que experimentan los astronautas de Artemis II ahora en la Tierra






