1 minuto de lectura'

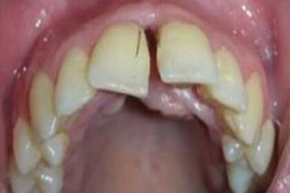
Una mujer italiana de 29 años padece una extraña enfermedad que hace que el pelo le crezca en la boca.
Todo comenzó hace 10 años cuando las pruebas que le realizaron los especialistas revelaron que la mujer tenía quistes ováricos en las encías, una rara enfermedad conocida como síndrome de ovario poliquístico (PCOS). Entre los dientes encontraron pequeños trozos de vello en forma de pestañas.
Los médicos operaron a la joven y le extrajeron los quistes. Además, le recetaron anticonceptivos orales para regular los cambios hormonales.
Durante un tiempo, la mujer vivió sin pelos en la boca. Pero siete años años después, volvió a consultar con especialistas tras observar que los pelos han aparecido de nuevo, y en otras partes del cuerpo como el cuello por ejemplo, informó ScienceAlert.
"Dado que el hallazgo se repitió seis años después de la primera observación, esto llevó a nuestra comprensión de que este no era un hallazgo ocasional, sino que probablemente era un defecto estructural y un desequilibrio hormonal que persistió, dando lugar a este fenómeno", explicó Khrystyna Zhurakivska, investigadora de la clínica dental de la Universidad de Foggia (Italia).
Por el momento, dado los pocos casos de hirsutismo gingival, no hay mucha información. Un estudio de la revista Oral Surgery, Oral Medicine, Oral Pathology, Oral Radiology detalla que la condición parece mejorar bajo tratamiento con anticonceptivos. Pero vuelve más fuerte si estos se retiran. Según el informé clínico "la aparición de pelos en la cavidad oral es rara, con etiología desconocida".

1Los 5 perfumes de mujer favoritos de los hombres, según un nuevo ranking de Fragrantica
2Pionero de la aviación argentina, peleó en la Primera Guerra Mundial e hizo el primer cruce nocturno de los Andes en avión
3Suelo pélvico: el conjunto de músculos y tejidos que son el sostén silencioso de la salud integral y hay que cuidar
4Tiene un solo riñón. Se hizo runner y pese a la enfermedad alcanzó todas sus metas: “Yo no puedo luchar contra tus sentimientos, sos única”





