El resultado mostró el impacto debido al consumo de alcohol, el tabaquismo, la mala alimentación y la falta de ejercicio a lo largo de su vida
5 minutos de lectura'

Una nueva herramienta de inteligencia artificial es capaz de revelar en qué medida el consumo de alcohol, el tabaquismo, la mala alimentación y la falta de ejercicio envejecen prematuramente el corazón de un individuo.
El objetivo es encontrar formas de revertir el envejecimiento del corazón y reducir los riesgos de muchas afecciones relacionadas con la edad, como los accidentes cerebrovasculares y las enfermedades cardíacas.
El sistema fue desarrollado por un equipo dirigido por el profesor Declan O’Regan, del Instituto de Ciencias Médicas de Londres (LMS) que pertenece al Consejo de Investigación Médica (MRC). Y me ofrecieron la oportunidad de probarlo.
“Cuando miramos la cara de alguien, somos expertos en juzgar si parece joven o viejo para su edad. Con nuestros órganos sucede exactamente lo mismo”, me dijo el profesor O’Regan.
“Algunas personas tienen corazones mucho más jóvenes, y otras tienen corazones que han envejecido prematuramente y son más propensos a las enfermedades. Por eso queremos descubrir cuáles son esos factores”.

Le revelé al profesor O’Regan que no había llevado un estilo de vida poco saludable pero que, como mucha gente, podía mejorar mi dieta, perder un poco de peso y hacer más ejercicio. Recordé además que mi dieta infantil incluía grandes cantidades de mantequilla clarificada. Un ingrediente que mi madre usaba para realzar el sabor de sus deliciosos curry, arroz y panes.
Y a todo esto tuve que sumar antecedentes familiares de colesterol alto, presión arterial alta y diabetes. Mis genes del sur de Asia también significan que tengo un mayor riesgo de sufrir enfermedades cardíacas, por lo que no tenía demasiado optimismo sobre el resultado. Pero, en nombre de la ciencia, decidí intentarlo.

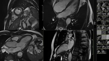
Hay muchas maneras de medir la salud del corazón, incluidas exploraciones, electrocardiogramas (ECG) y conociendo la presión arterial. Pero, estas pruebas ofrecen una instantánea de cómo están las cosas en ese mismo momento, pero pueden variar de un día a otro o de un mes al siguiente.
El análisis de la IA, sin embargo, mostró el impacto y las pequeñas cosas acumuladas a lo largo de la vida, debido al consumo de alcohol, el tabaquismo, la mala alimentación y la falta de ejercicio, me dijo el profesor O’Regan.
El proceso implicó realizarme una resonancia magnética (MRI) de mi corazón después de algo de ejercicio ligero. Los primeros signos de envejecimiento prematuro pueden ser tan sutiles que incluso los cardiólogos expertos son incapaces de detectarlos.
Imágenes de 40.000 personas
Pero, la herramienta de inteligencia artificial sí puede, porque contiene imágenes de 40.000 personas con diferentes condiciones de salud cardíaca junto con sus resultados de salud.
El sistema analizó cientos de pequeños detalles en el movimiento 3D de mi resonancia magnética y los comparó con los de 5000 personas de distintas edades que habían llevado estilos de vida saludables.
La herramienta calculó que la edad de mi corazón era 63 años, solo un par de años más que mi edad real y el resultado no fue tan grave como me temía.
Le pregunté al profesor O’Regan si esto se debía a que algunos de los cambios recientes que había hecho en mi estilo de vida, como hacer ejercicio regularmente y mejorar mi dieta.
Quería saber si estos nuevos hábitos habían contribuido de alguna manera a contrarrestar la dieta de mi infancia, la cerveza y la vida sedentaria de antes.

Me dijo que eso era exactamente lo que quería descubrir en la siguiente parte de su investigación, que se publicó en la revista Nature Communications.
“No sabemos si el envejecimiento prematuro del corazón se debe a los genes y entonces uno nace destinado a tener un corazón más viejo o si se debe más bien a su estilo de vida”, me respondió O’Regan.
“Tampoco sabemos si el ritmo de envejecimiento se puede cambiar o si puede ser reversible. De serlo, esto permitiría volver a tener un corazón más joven a quienes reciban el tratamiento adecuado”.
Revirtiendo el envejecimiento
Un análisis inicial reveló que los genes asociados con la elasticidad muscular (y las arrugas que se desarrollan a medida que las personas envejecen) fueron un factor importante. También influyó otro conjunto de genes, asociados con el sistema inmunológico.
Las células inmunes combaten enfermedades y limpian el tejido muerto, pero si se vuelven hiperactivas, pueden frotar demasiado fuerte y causar inflamación, dañando el tejido. Y un tercer conjunto de genes, implicados en el transporte de señales eléctricas a través del corazón, también parece tener algo que ver.
Si esto se altera en algunas áreas, los latidos del corazón pueden ser irregulares. Al comprender el papel de los genes en el envejecimiento prematuro del corazón, podría ser posible desarrollar tratamientos que se dirijan a estos mecanismos y ayuden a las personas a vivir vidas más largas y saludables, me dijo el profesor O’Regan.
“La genética podría ayudarnos a retardar o revertir el envejecimiento, y estas exploraciones también podrían ayudar a diseñar nuevas terapias, para ver el impacto que están teniendo sobre el daño”, añadió.
*Por Pallab Ghosh










