1 minuto de lectura'

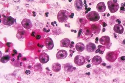
Su nombre científico es Naegleria fowleri, pero se le conoce coloquialmente como la ameba "comecerebros", porque puede provocar una infección en ese órgano que a menudo es mortal.
Ahora, funcionarios de salud en Florida, Estados Unidos, confirmaron un raro caso de esta infección.
El Departamento de Salud de Florida indicó el viernes que una persona en el condado de Hillsborough contrajo la ameba.
El parásito unicelular, que típicamente se encuentra en aguas dulces templadas y estancadas como lagos y lagunas, puede entrar al organismo por la nariz.
Las autoridades de Florida no indicaron dónde fue contraída la infección ni cuál es el estado del paciente.
Pero dadas las consecuencias potencialmente letales de la infección, las autoridades sanitarias emitieron una advertencia a los residentes de Hillsborough.
Están urgiendo a los habitantes locales a evitar el contacto nasal con el agua de grifos y otras fuentes, como ríos, estanques, piscinas, aguas termales y canales, donde puede incrementarse la probabilidad de una infección en los meses de verano.
Infección letal
Las infecciones por Naegleria fowlerison son extremadamente raras y sus síntomas incluyen fiebre, náusea, vómito, dolor de cuello y de cabeza.
La mayoría de los pacientes que contraen la infección mueren en una semana.
Las autoridades estadounidenses indican que las personas que experimentan estos síntomas deben "buscar asistencia médica de inmediato, porque la enfermedad progresa rápidamente".
"Recuerden, esta enfermedad es rara y las estrategias efectivas de prevención pueden permitir tener una temporada de verano segura y relajante", indica el Departamento de Salud de ese país.
La mayoría de las infecciones en Estados Unidos han ocurrido en estados como Texas y Florida, durante los meses de verano.
La N. fowleri habita en cuerpos de agua dulce templada, en los sedimentos depositados en el fondo, donde suele encontrar alimento.
Cuando estos sedimentos se revuelven, la ameba se mueve en el agua y, como consecuencia, puede ser inhalada por alguien que esté nadando en los alrededores.
Una vez en la nariz, el microorganismo invade los nervios olfatorios y migra hacia el cerebro, donde se alimenta de las células nerviosas causando un peligroso trastorno llamado meningoencefalitis amebiana.
Aunque el agua dulce es la fuente más probable de infección de esta ameba, también ha habido casos en los que el parásito ha causado inflamación en personas que realizan lavados nasales con agua de grifo.
Casos raros
Aunque mortales, las infecciones de la N. fowleri, señalan las autoridades, son extremadamente raras.
Según los Centros para el Control y Prevención de Enfermedades (CDC) desde 1962 se han reportado en todo Estados Unidos 146 casos de meningoencefalitis amebina, de los cuales solo cuatro pacientes sobrevivieron.
Entre 2009 y 2018, solo se han reportado 34 infecciones. De estos casos, indican los CDC, 30 personas resultaron infectadas nadando en cuerpos de agua dulce, tres se contagiaron por irrigación nasal con agua del grifo contaminada y una persona con agua contaminada en un tobogán o resbaladilla de agua.
Los expertos afirman que es sumamente letal porque una vez que entra al organismo, el parásito provoca una rápida destrucción del tejido cerebral.
Además, debido a que no hay pruebas para diagnosticar la N. fowleri, los síntomas pueden confundirse con los de otras infecciones menos graves, y no existen tratamientos establecidos eficaces contra la infección.
1“Ha entrado en una fase de paranoia”: cuál está siendo la reacción del gobierno de Ortega y Murillo en Nicaragua a la captura de Maduro
- 2
Identificaron a un quinto argentino detenido en Venezuela y advierten que tiene un deterioro psicosocial
3¿Qué falló? Todos los detalles del mortal choque de trenes que tiene en duelo a España
- 4
Tensión por Groenlandia: Macron acusa a EE.UU. de querer “subordinar a Europa” tras la difusión de sus mensajes privados con Trump






