Usó mal los hisopos, le quedó algodón en el oído y terminó con una infección cerebral
1 minuto de lectura'

Un hombre de Inglaterra ha jurado no volver a limpiarse las orejas con hisopos de algodón después de desarrollar una infección potencialmente mortal que no solo afectó su audición, sino que también se extendió al revestimiento de su cerebro y causó síntomas neurológicos, según un nuevo informe de su caso.
Los problemas del hombre de 31 años comenzaron cuando la punta de un hisopo de algodón se atascó dentro de su canal auditivo, aunque le dijo a los médicos que no estaba seguro de cómo o cuándo sucedió esto.
Un poco de algodón que queda en el oído puede sonar inofensivo, pero en este caso, causó estragos. El hombre desarrolló una infección bacteriana grave que comenzó en el canal auditivo, avanzó hacia el hueso en la base de su cráneo y luego continuó creciendo hacia arriba, hacia el interior de su cerebro, las meninges, según explicó el autor principal del estudio, el doctor Alexander Charlton, miembro del equipo de especialistas en oído, nariz y garganta que participan en el tratamiento del paciente en el Hospital Universitario de Coventry en Inglaterra.
A pesar de que la infección no entró en el cerebro del hombre, no progresó más allá del revestimiento, claramente estaba causando síntomas neurológicos. El hombre fue llevado de urgencia a la sala de emergencias después de sufrir un ataque y un colapso.
Charlton le dijo a Live Science que sospecha que las toxinas de la infección bacteriana o la presión sobre el cerebro causada por la infección provocaron el ataque.
Los síntomas del hombre, sin embargo, comenzaron mucho antes de que ocurriera su ataque. Había estado experimentando dolor y secreción de su oreja izquierda durante aproximadamente 10 días antes de la convulsión y había experimentado dolores de cabeza en el lado izquierdo de su cabeza que eran tan severos que lo hicieron vomitar. Además, había empezado a tener problemas para recordar los nombres de las personas.
Pero los problemas en el oído del hombre no eran nada nuevo; le dijo a los médicos que había experimentado dolor de oído izquierdo y pérdida de audición en los últimos cinco años y que había recibido tratamiento por infecciones de oído severas en el mismo lado.

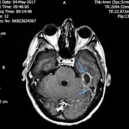
Cuando llegó al hospital, los médicos le hicieron una tomografía y las imágenes revelaron dos abscesos, o áreas inflamadas llenas de pus, en los huesos en la base de su cráneo, cerca de su conducto auditivo izquierdo. Esto indicó a los médicos que aunque la infección pudo haber comenzado dentro del canal auditivo del hombre, se había extendido más allá.
Se le diagnosticó "otitis externa necrotizante" o una infección en los tejidos blandos del canal auditivo externo.
Los médicos realizaron una cirugía menor para explorar su canal auditivo. Durante esta operación, localizaron y retiraron la punta del hisopo de algodón que había desaparecido. El hisopo fue impactado y rodeado de cera y escombros, sugiriendo que había estado allí por algún tiempo, dijo Charlton, y agregó que probablemente contribuyó a las infecciones de oído recurrentes del hombre a lo largo de los años, que culminaron en un episodio particularmente grave.
El paciente pasó casi una semana en el hospital y necesitó dos meses de antibióticos orales e intravenosos para tratar la infección, pero no tuvo problemas de audición a largo plazo. Y, como era de esperar, le aconsejaron que nunca volviera a usar hisopos de algodón en los oídos.








