
Aplican una técnica pionera en el país para reemplazar válvulas cardíacas
1 minuto de lectura'


Las historias de pacientes que pasaron por el reemplazo de válvulas cardíacas por medio de una intervención mínimamente invasiva sorprenden.
Por una patología congénita, Brenda había sido sometido a una operación "a corazón abierto" a los 12 años, sin éxito. Luego le colocaron un stent, que requirió someterla a repetidos procedimientos de dilatación. Finalmente, le insertaron una válvula pulmonar biológica por cateterismo en la primera intervención en su tipo que se realizó en el país y pudo empezar a hacer una vida normal.
Eduardo (no es su verdadero nombre) afirmó que se sentía como cuando tenía 10 o 20 años menos, dos días después del reemplazo de su válvula aórtica ¡a los 96!
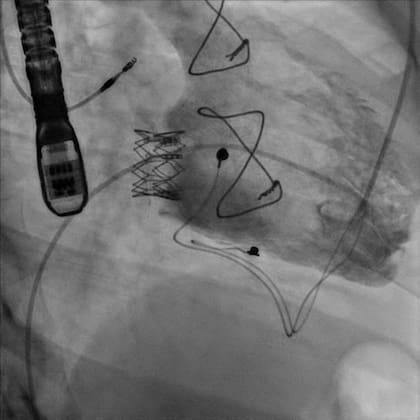
Ahora, en un procedimiento pionero, un equipo de la Fundación Favaloro encabezado por el doctor Oscar Méndiz realizó por primera vez en el país el reemplazo por cateterismo de la última válvula cardíaca que faltaba reparar con esta técnica, la tricúspide, que separa el ventrículo derecho de la aurícula del mismo lado.
"Desde hace años, se hacían dilataciones de las válvulas mitral, pulmonar y aorta, pero hace una década comenzó una revolución impulsada por la posibilidad de reemplazos de válvulas a través de catéteres. El primero y más difundido de los que se intentaron es el de la aórtica, que hoy demostró ser igual y en algunos casos superior a la cirugía –afirma Méndiz–. Con la concreción del primer reemplazo de válvula tricúspide por cateterismo completamos la posibilidad de tener una o más soluciones por cateterismo para cada válvula cardíaca".
La paciente que protagonizó este nuevo avance en cardiología es una mujer joven que por endocarditis (infección) había requerido un reemplazo con una válvula mecánica, que luego falló y requirió su reemplazo en una segunda cirugía por una biológica. Después de varios años, esta última también resultó afectada y, para evitar una tercera cirugía, los médicos decidieron intentar el reemplazo por cateterismo.
"Este tipo de procedimiento exige mucha planificación, mediciones que se realizan por tomografía de última generación, en algunos casos incluyendo un implante virtual por tomografía para saber cómo va a quedar –explica Méndiz–. De hecho, hay casos en que es necesario abstenerse de seguir adelante antes de intentarlo, en especial en posición mitral".

Igual que en las demás, para reparar la "tricúspide" se procede a una sedación consciente, se realiza una punción con sutura percutánea (sin cortar) y, luego de cruzar la válvula, se avanza la prótesis montada sobre un catéter dirigible que contiene un balón. Al inflarlo, éste expande la válvula de pericardio bovino, que queda sostenida por un stent gigante.
Por ser el primer caso, aunque podría haber sido dada de alta a las ocho horas del procedimiento, los médicos prefirieron dejar a la paciente internada hasta la mañana siguiente, pero deambulando en el hospital.
Acerca de la duración de las válvulas que se utilizan en estas intervenciones mínimamente invasivas, Méndiz afirma que por lo menos en el caso de la aórtica, los estudios muestran que los resultados son al menos iguales que las utilizadas en la cirugía tradicional. Como el procedimiento es más reciente, la durabilidad probada hasta ahora es de ocho años, pero podría ser mayor. Por eso, la indicación actual es para personas de alto riesgo, aunque hay estudios en curso para ensayarlo en pacientes de riesgo intermedio y bajo. También es apto para reparar una válvula biológica puesta anteriormente por cirugía poniendo dentro de la misma una colocada por cateterismo. "Los pacientes andan muy bien; en seis horas están caminando –destaca Méndiz–. La mortalidad alejada es muy baja".
José Alvarez, jefe de Hemodinamia y Cardiología Intervencionista del Hospital Británico de Buenos Aires y del Hospital Alemán, explica que el implante percutáneo en posición aórtica ya se hace rutinariamente. "En la medida en que la población se va haciendo más añosa, estamos empezando a ver la estenosis valvular calcificada del adulto, un desorden que interrumpe el flujo de sangre. Empezamos a desarrollar la técnica por cateterismo porque muchos pacientes no podían operarse o eran descartados por la edad. Ahora se va popularizando cada vez más y está aceptada en todo el mundo. Los pacientes tienen muy buena evolución. Detrás de la primera, vino la válvula pulmonar, que ya se reemplaza desde hace un tiempo, sobre todo en cardiología pediátrica, y hay varios modelos en desarrollo para la válvula mitral".
Y concluye: "Para el futuro, creo que así como con la válvula aórtica ya los resultados son cada vez mejores, también el resto se van a ir reemplazando, tal vez no totalmente, pero sí en muchos casos con riesgo quirúrgico medio o alto para la cirugía convencional".
Este y otros temas se van a discutir en el próximo Simposio Cardiovascular de la Fundación Favaloro, que se realiza el 17 y 18 de este mes y al que asistirán 30 invitados internacionales y 200 nacionales.




