En un estudio reciente, investigadores encontraron cambios principalmente en el volumen
6 minutos de lectura'

Existen maneras muy elegantes de insultar. Por ejemplo, en mi familia manchega cuando alguien te dice “hoy te creció el cerebro” se refiere a que no es tu mejor día y estás un poco mas “espeso” de lo normal.
Con el paso del tiempo, el sentido de las palabras cambia y, según parece, el volumen de nuestro cerebro también. No es de extrañar, por tanto, que en el futuro y según los últimos estudios en neurociencia, cualquier referencia al tamaño de este órgano pase a considerarse un elogio.
Pero para hablar con precisión sobre el tema, antes es importante aclarar algo.
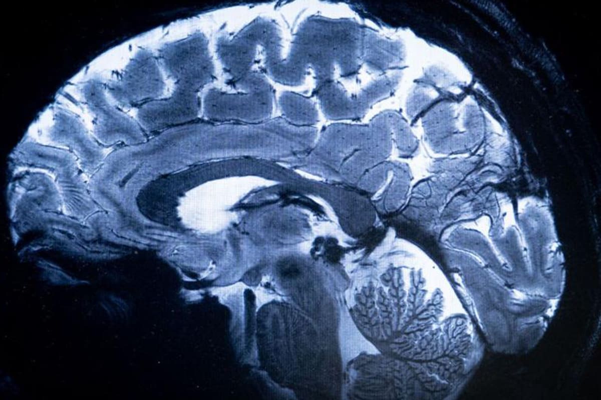
El sistema nervioso central está formado por el encéfalo (que incluye el cerebro, el tronco encefálico y el cerebelo) y la médula espinal. Aunque el cerebro es la parte más grande del encéfalo, es solo una parte de él. Por lo tanto, es más preciso referirse al conjunto con el segundo término.
Sin embargo, en un estudio reciente que analizaremos con detalle más adelante, los investigadores encontraron cambios principalmente en el volumen del cerebro. Por lo que en esta ocasión, y sin que sirva de precedente, se usarán ambos términos indistintamente.

Nuestro cerebro no tocó techo
La evolución dotó a los humanos de un encéfalo de grandes dimensiones, con un volumen de entre 1.200 y 1.400 cm³. A pesar de que hay animales, como la ballena cachalote, que pueden tenerlo muy grande en términos absolutos (8.000 cm³), hay que considerar la proporción con respecto al resto del cuerpo.
En este sentido, los humanos somos los seres vivos con el encéfalo más grande, sin discusión, puesto que es cinco veces mayor en relación con el tamaño corporal. Este hecho se asoció tradicionalmente con una mayor inteligencia y mejores capacidades cognitivas superiores.
Y el proceso evolutivo continúa. ¿Significa eso que nuestro cerebro sigue creciendo o ya hemos tocado techo?
Pues parece ser que lo primero: la investigación antes citada encontró que las personas nacidas en los últimos años tienen cerebros significativamente más grandes que los de las generaciones anteriores.
Para averiguarlo, los científicos realizaron resonancias magnéticas a 3.226 personas, mujeres (53 %) y hombres (47 %) de entre 45 y 74 años. Comparando las imágenes de los voluntarios nacidos entre las décadas de 1930 y 1970, encontraron que, en promedio, los cerebros de los participantes de los 70 presentaban un volumen un 6,6 % más grande que los de los sujetos venidos al mundo cuarenta años antes, sin diferencias significativas entre hombres y mujeres.
El crecimiento afectaría a áreas importantes como la sustancia blanca –red de axones mielinizados que permiten la comunicación entre las distintas áreas dentro y fuera del sistema nervioso–, la sustancia gris cortical –donde se llevan a cabo la mayoría de los procesos cognitivos y emocionales– y el hipocampo, estructura responsable de diversas funciones cognitivas como la memoria o la capacidad para orientarse y desplazarse.
Este engrosamiento podría estar influido por varios factores ambientales y de desarrollo, como una mejor atención médica pre- y postnatal, avances en la nutrición, cambios en el estilo de vida, aumento del acceso a la educación y una mayor estimulación cognitiva.

Para la inteligencia, el tamaño (casi) no importa
La siguiente cuestión que nos asalta es: ¿el aumento del cerebro nos hace entonces más inteligentes? No exactamente. Aunque el estudio analiza tendencias en volúmenes cerebrales y su asociación con factores temporales y ambientales, el tamaño no es necesariamente un indicador directo de la inteligencia.
La teoría de la encefalización sugiere que el tejido cerebral “extra” permite dedicar más neuronas a tareas cognitivas. Y aunque es cierto que existe una pequeña pero significativa correlación entre las dimensiones del encéfalo y el rendimiento cognitivo, no existe una relación directa y absoluta entre ambos parámetros.
La inteligencia es un constructo multifacético determinado por una amplia gama de factores, incluyendo la genética, el entorno y la salud.
Además, las habilidades cognitivas superiores están influidas por la estructura y conectividad cerebral, la plasticidad y la experiencia individual, entre otros elementos.
Definitivamente, el tamaño del encéfalo no es el único factor que determina la inteligencia.
La encefalización, o aumento relativo del tamaño del encéfalo en relación con el tamaño del cuerpo, fue un proceso clave en la evolución del cerebro humano, pero no el único.
También fue necesaria una reorganización de los tejidos y circuitos cerebrales. Por tanto, la relación entre el tamaño y la inteligencia no es lineal, y especies con cerebros más pequeños pueden presentar habilidades cognitivas superiores a las de especies con órganos más grandes.
Un ejemplo claro son las aves en comparación con los primates. Sus cerebros son mas pequeños en relación a su cuerpo, pero tienen una elevada densidad neuronal concentrada en determinadas áreas.
Esto les permite disfrutar de niveles altos de cognición, con habilidades como la planificación para el futuro o la búsqueda de patrones. Lo mismo puede ocurrir entre distintos individuos humanos.

Mejor preparados para afrontar el deterioro cognitivo
Lo que sí parece indicar este tipo de estudios es que el aumento del tamaño del encéfalo puede influir en el desarrollo cognitivo al proporcionar una mayor reserva cerebral, lo que reduce potencialmente el riesgo de deterioro cognitivo y enfermedades neurodegenerativas.
Tan solo en España, cerca de un millón de personas sufren algún tipo de demencia, caracterizada por una disminución del volumen encefálico. Las investigaciones científicas sugieren que un volumen cerebral mayor podría asociarse con una mejor salud cerebral y más resistencia a dolencias como el alzhéimer.
Es decir, con un encéfalo mas grande se tardaría más en perder volumen como consecuencia de la enfermedad, lo que podría traducirse en una mayor esperanza y calidad de vida para los pacientes con demencia.

Por el momento, esto es solo una hipótesis que necesita mucha mas investigación para confirmarse. De hecho, el crecimiento del encéfalo tendría que ir acompañado de una mejora en la plasticidad cerebral influida por nuestro entorno.
Esto sería clave para procesar más información, aprender mejor y adaptarse más fácilmente a diferentes situaciones a lo largo de la vida.
En resumen, mientras que el aumento del volumen cerebral a lo largo de las décadas no se traduce directamente en una mayor inteligencia, ofrece una perspectiva fascinante sobre nuestra evolución neurológica.
Este crecimiento podría representar una especie de “reserva cognitiva”, una ventaja oculta que podría ayudarnos a combatir las enfermedades neurodegenerativas como el alzhéimer.
Personalmente, estoy a favor de este giro de la evolución: entre ser más inteligente y no olvidar, prefiero la segunda opción.
1Sombra, drenaje y mobiliario: así será el nuevo parque de la Ciudad con más de 15.000 metros cuadrados
2Feria del Libro 2026: la grilla con las actividades y los invitados más destacados
3Murió el niño de un año que estaba internado en Mendoza con lesiones cerebrales
4Previo a la exhibición de Franco Colapinto, vecinos y comerciantes entre la expectativa y las quejas por la falta de información






