El sorprendente descubrimiento que reveló una momia egipcia de 2000 años
El cuerpo momificado de una niña de cuatro años arrojó luz sobre aspectos desconocidos de la vida en Egipto dos milenios atrás
3 minutos de lectura'

El descubrimiento de la primera momia egipcia con una herida vendada despierta asombro y abre nuevos interrogantes en la comunidad científica respecto de los orígenes de la medicina.
Los vendajes fueron hallados en los restos de una niña, de no más de cuatro años, que murió hace unos 2000 años, según rescata Business Insider.
De acuerdo con los científicos, que publicaron la novedad en The International Journal of Paleopathology en diciembre, el vendaje envolvió una herida que mostraba signos de infección.

Albert Zink, director del Instituto de Estudios de Momias en Bolzona, Italia, y responsable del estudio, rescató la importancia del hallazgo. “Nos da pistas sobre cómo [los antiguos egipcios] trataron tales infecciones o abscesos durante su vida”, afirmó.
De acuerdo al trabajo, la ubicación de la momia está asociada con la “Tumba de Aline” en el Oasis de Faiyum, ubicado al suroeste de El Cairo.

Albert Zink consignó que si bien los antiguos egipcios tenían ciertas limitaciones en sus conocimientos, contaban con un entendimiento profundo sobre la práctica de la medicina.
El especialista consideró probable que esta civilización no supiera sobre el funcionamiento del corazón o el accionar de los microbios, pero remarcó que, aún así, tenían una aproximación certera sobre el tratamiento de las enfermedades.
Zink consideró sorprendente que no apareciera con anterioridad restos con este tipo de vendajes. “Sabemos por otras pruebas, como el papiro, que tenían una buena experiencia en el tratamiento de heridas y lesiones”, afirmó.
Trabajo de rutina
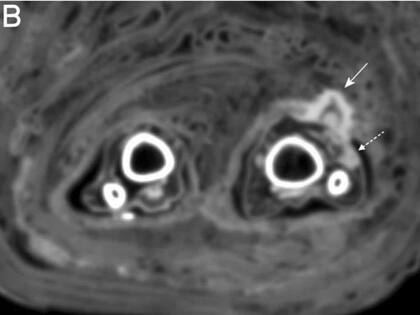
El equipo del Instituto de Estudios de Momias en Bolzona halló los vendajes mientras realizaba tomografías computarizadas de rutina de las momias
Según surge de los escaneos de esos estudios, la herida parecía haberse infectado cuando ella murió, dado que al parecer se detectaron signos de “pus”, dijo Zink. Esos signos de infección fueron marcados con flechas punteadas en los escaneos a continuación.

“Es muy probable que aplicaran algunas hierbas o ungüentos específicos para tratar la inflamación de esta área”, consideró el autor del estudio, quien no descartó que nuevos estudios puedan profundizar en ese aspecto.
La posibilidad de desenvolver la momia está sobre la momia pero es algo a lo que Zink, por el momento se resiste. La recolección de una muestra a través de una biopsia es una técnica que se impone
La razón de por qué dejaron los vendajes en ese lugar es un misterio. La pregunta es si simplemente lo dejaron en su lugar y permaneció a pesar del proceso de embalsamamiento o si lo colocaron”, expresó.

Por lo general, los vendajes no sobreviven al proceso de momificación. En este caso, una respuesta posible es que los embalsamadores pusieran el vendaje en el cuerpo después de la muerte de la niña.
Según los egipcios, el cuerpo momificado debía estar en las mejores condiciones para la vida después de la muerte. “Tal vez intentaron de alguna manera continuar el proceso de curación para el más allá”, razonó Zink.
Otras noticias de Hoy
Vivía en Colegiales. Qué se sabe sobre la muerte de la mujer hallada en un jacuzzi y la pista que siguen del hombre que estaba con ella
A tres años de su desaparición. Comienza el juicio por el caso Tehuel de la Torre
Las fotos de la pasión. Los hinchas argentinos en la previa del partido contra Panamá
1Brasil: una turista argentina de 71 años fue detenida por destruir una estatua religiosa
- 2
Tras su detención, Andrés se recluye en una finca real mientras la policía allana su antigua mansión: cómo sigue su caso
3Detuvieron al expríncipe Andrés, hermano del rey Carlos III, por sus escandalosos vínculos con el caso Epstein
4El expríncipe Andrés, de “hijo predilecto” de la reina y “héroe” de Malvinas a hundir a la familia real británica





