Tosió tan fuerte que se partió cuatro costillas: la impactante imagen que mostró la radiografía
El impactante caso tuvo lugar en China, donde una mujer tuvo una reacción normal tras comer comida picante, pero todo se complicó y terminó sufriendo la rotura interna de huesos
4 minutos de lectura'

El organismo humano es tan débil o fuerte, según el tipo de alimentación y rutina diaria que se realice. De acuerdo a las características fisonómicas de una persona, puede que resista más o menos las afecciones. En este caso, una mujer china tosió tan fuerte que se “rompió” por dentro y, luego de realizarse una radiografía, quedó al descubierto cómo quedó su cuerpo.
Este hecho escalofriante sucedió en Shanghai, en donde una mujer de apellido Huang, padeció la rotura de cuatro costillas tras sufrir un terrible ataque de tos. Tras degustar una comida muy picante, la damnificada tuvo esta reacción natural propia del organismo. Al instante sintió un crujido en su interior, pero aún así, mantuvo su rutina sin preocupación.

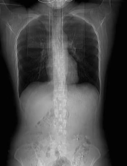
Horas más tarde, un dolor insoportable colmó la caja torácica de la mujer y una molestia interna le impidió respirar de manera normal, por lo que acudió de inmediato a un centro de salud para ser atendida por un profesional. Según informó Shanhai Video, le realizaron una radiografía a la paciente en la que el médico determinó que claramente sus cuatro costillas se fracturaron debido a la tos.
Este tipo de situaciones es poco común pero, puede suceder a menudo. El médico responsable de atender a Huang, le puso vendas alrededor de sus costillas y le aconsejó descansar durante un mes. Tiempo estimado para que logre sanar de manera correcta. “Tus costillas se pueden ver claramente debajo de tu piel. No hay músculo para sostener el hueso, por lo que es fácil que las costillas se fracturen al toser”, le remarcó el profesional a la mujer.

Con una altura de 171 cm y un peso de 57 kg, es evidente que Huang experimente este tipo de lesión en sus costillas, las cuales logran verse por sobre su piel. En tanto, la mujer damnificada prometió hacer ejercicio y alimentarse mejor para aumentar su masa muscular y así evitar la posibilidad de tener una fractura en otra parte del cuerpo.
Cómo saber si hay presencia de osteoporosis en nuestros huesos
Así como el caso de la ciudadana china que padeció la fractura de cuatro costillas debido a su mal estado físico, hay ciertas personas que tienen más predisposición a presentar descalcificación en los huesos y por ende, sufren fracturas constantemente. Mientras que otras que tienen mejor estado óseo y solo sufren en situaciones puntuales.
En general, las fracturas óseas ocurren debido a un impacto suficientemente importante como para romper un hueso. Si el golpe es muy fuerte, romperá huesos sanos y/o descalcificados. Se llaman “fracturas por fragilidad o traumáticas” a las que ocurren con un impacto leve como, por ejemplo, una caída desde la propia altura. Son situaciones en las que el impacto no es lo suficientemente intenso como para lastimar un hueso, salvo que esté descalcificado.
En contraposición, están los accidentes de tránsito, ya sea por un choque o ser atropellado por un vehículo en donde, generalmente, el impacto es muy violento, o una caída de una escalera de muchos escalones. En estas situaciones, puede haber rotura de un hueso sano. Las fracturas consideradas osteoporóticas son las de vértebras, muñecas, caderas y del hueso húmero. En general, ocurren porque el hueso ya está debilitado y frágil, y un mínimo impacto logra quebrarlo. Si bien no se brindó una especificación acerca de la salud de Huang, su caso hace entrar en razón sobre la importancia de cuidar y mantener nuestro organismo fuerte.
Otras noticias de China
1Hotel Casino Míguez: parte del emblemático edificio de Punta de Este está abandonado, en venta, y espera renacer
2Se conocieron cuando ella tenía 12 y él 17 y llevan juntos ocho décadas: “Solo puedo hablar de ella con letras mayúsculas”
3Llamó a su esposa y le propuso hacer un viaje que cambió sus vidas para siempre: “Nos vamos a Alaska tres o cuatro meses”
4Efemérides del 20 de febrero: ¿qué pasó un día como hoy?








