
Cómo se determina la identidad de un cadáver a través de la dentadura
Es uno de los métodos a través de los cuales se puede identificar un cuerpo
1 minuto de lectura'

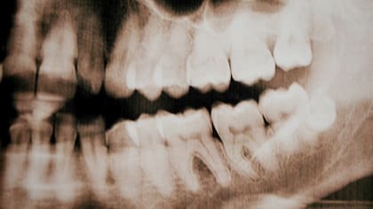
Además de las huellas y el ADN, entre otros métodos, la identidad de un cadáver puede establecerse a partir de la dentadura.
Según explicó a LA NACION Gabriel Fonseca, director del Laboratorio de Pericias en Odontologia Forense de la Universidad de La Frontera (Temuco, Chile), el método es básicamente comparativo. “Un odontólogo capacitado hace una exploración y detalle de lo que tiene el cadáver en su boca (arreglos, dientes ausentes, prótesis, etc). Eso se llama información postmortem (PM)”, indicó el especialista.
“Por otra parte, se busca información odontológica de la persona a la que se cree que puede pertenecer el cuerpo. Se le pide a sus odontólogos, hospitales, etc. Esa información se llama a antemortem (AM)”, detalló Fonseca.
Con estos datos, el odontólogo Forense compara las dos informaciones y determina si existe coincidencia absoluta, parcial o si no hay coincidencia.
Si hay coincidencia completa, se establece la identidad del cádaver. “En el caso de una coincidencia parcial, la identificación debería complementarse con algún otro método”, indicó Fonseca.
La identificación odontológica comparativa es un método validado por Interpol.


