1 minuto de lectura'

Tras el primer caso detectado en el país de una enfermedad pulmonar asociada con el consumo del cigarrillo electrónico, la Secretaría de Salud de la Nación anunció ayer que incorporó al sistema nacional de vigilancia epidemiológica las lesiones por el uso de ese dispositivo.
Eso quiere decir que cuando una persona consulte en un centro público o privado del país con complicaciones respiratorias que hagan sospechar que se trata de ese tipo de lesiones pulmonares no infecciosas, los profesionales tratantes tendrán que informarlo a las autoridades de Salud.
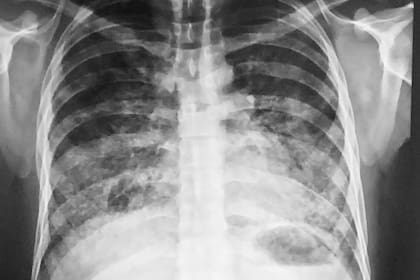
Hace una semana, la secretaría a cargo de Adolfo Rubinstein emitió una alerta de salud pública sobre el primer caso de lesión pulmonar detectado en el país. Se trata, como había informado LA NACION, de un joven de 30 años con proteinosis alveolar (acumulación de proteínas y lípidos en los alvéolos pulmonares). El paciente debió quedar internado en terapia intensiva con asistencia respiratoria. Su médica tratante pudo determinar que el joven había empezado a usar el dispositivo electrónico para dejar de fumar.
"Tanto la alerta epidemiológica, como el relevamiento de estos casos, se produce en el marco del brote de enfermedad pulmonar grave y potencialmente mortal entre los usuarios de cigarrillos electrónicos que, en Estados Unidos, ya reportó en los últimos meses 36 muertes y más de 1800 casos de enfermedades respiratorias graves no infecciosas", explicaron ayer desde la Secretaría de Salud de la Nación.
Esta incorporación de la denuncia de estos casos por vía electrónica desde las provincias a través del Sistema Nacional de Vigilancia de la Salud permitirá no pasar por alto estos casos. Ante el requerimiento formal de la Organización Mundial de la Salud, el país debió notificar formalmente el primer caso local de enfermedad pulmonar asociada con el uso del cigarrillo electrónico o el vapeo (Evali, por su nombre en inglés).
"La comunidad internacional se ha puesto en alerta por la aparición reciente de neumonías lipoideas, neumonías eosinofílicas, y otras enfermedades pulmonares raras, no infecciosas y graves que afectaron en general a jóvenes", indicó Verónica Schoj, directora nacional de Promoción de la Salud y Control de Enfermedades No Transmisibles. "Y la Argentina no está exenta de estos riesgos dado el crecimiento del consumo de estos productos en el país", agregó.
En el país, la comercialización del cigarrillo electrónico está prohibida por la Anmat. Sin embargo, se lo puede comprar a través de plataformas de compra y venta online. La falta de controles hace que, también, quioscos u otros comercios estén vendiendo los líquidos que el dispositivo convierte en el aerosol que el usuario inhala. Todo este circuito aumenta aún más los riesgos para la salud.
"La evidencia científica demuestra que los cigarrillos electrónicos ni son productos de daño reducido, ni son efectivos para dejar de fumar, e implican un importante retroceso en las políticas de control de tabaco al favorecer la iniciación del tabaquismo entre los jóvenes", afirmó Ignacio Drake, coordinador del Programa Nacional de Control de Tabaco.
Al incorporar la notificación de los casos de Evali al sistema nacional de vigilancia sanitaria, la Argentina se suma a la decisión que implementaron en los últimos meses en la región México, Perú, Colombia, Chile y Brasil. En Estados Unidos, Canadá y Europa avanzan con la investigación de nuevos casos.
Como en todos esos países, se entiende como un caso confirmado para notificar cuando se trate de un paciente con un cuadro respiratorio con una imagen de tórax similar a una neumonía bilateral, pero en el que las pruebas diagnósticas descarten una infección y la persona, que de otro modo tenga un buen estado de salud general, haya fumado cigarrillo electrónico por lo menos una vez en los últimos 90 días, según explicaron a LA NACION.





