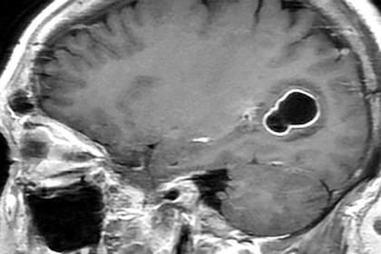
Al realizarle tomografías, los médicos encontraron la presencia de numerosos quistes en el cerebro que, según luego comprobaron con estudios posteriores, en realidad eran otra cosa
3 minutos de lectura'

Médicos en Estados Unidos descubrieron que las fuertes y frecuentes migrañas que sufría un paciente eran causadas por la presencia de larvas del parásito de la tenia que presentaba en el cerebro. El hombre de 52 años, cuya identidad no ha sido revelada, visitó a su doctor en Florida después de que sus migrañas empeoraran y sus pastillas habituales dejaran de funcionar.
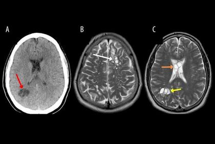
Al realizarle tomografías, los médicos encontraron la presencia de numerosos quistes en el cerebro que, según luego comprobaron con estudios posteriores, en realidad eran larvas de tenia que se habían instalado en su cerebro y que eran las causantes de una infección conocida como neurocisticercosis.
Esta infección es causada por las larvas del parásito Taenia solium (T.solium), también conocido como tenia del cerdo. Los médicos creen que el hombre contrajo en primer lugar una tenia intestinal por comer carne de cerdo poco cocida. Comer carne de cerdo poco cocida no puede provocar neurocisticercosis directamente a una persona.
Los expertos consideran que el paciente se contagió primero de la tenia intestinal y luego, tras un lavado de manos inadecuado, ingirió los huevos que la tenia de su intestino había excretado en sus heces, lo que le provocó la neurocisticercosis.
Al escribir sobre el caso en la revista científica American Journal of Case Reports, los médicos indicaron que “sólo se puede especular” que la cisticercosis del hombre se transmitió a través de una autoinfección. El paciente respondió a los medicamentos antiparasitarios y antiinflamatorios, y se recuperó por completo.
“Mal lavado de manos”

Según los Centros para el Control y la Prevención de Enfermedades (CDC, por sus siglas en inglés) de EE.UU., las larvas de tenia “entran en tejidos como los músculos y el cerebro y forman quistes. Cuando se encuentran quistes en el cerebro, la afección se llama neurocisticercosis”.
“Las personas contraen cisticercosis cuando tragan huevos de T.solium que se eliminan en las heces de un ser humano con una tenia”, dice los CDC. “Los humanos tragan los huevos cuando comen alimentos contaminados o se llevan los dedos contaminados a la boca”. “Alguien con una tenia puede infectarse a sí mismo (autoinfección)” y a otros miembros de la familia”, añaden.
Los expertos dicen que comer carne de cerdo poco cocida no puede provocar neurocisticercosis, y esta afección tampoco es común en EE.UU., donde la carne de cerdo se somete a pruebas rigurosas.
Las tasas más altas de esta afección se encuentran en partes de América Latina, Asia y África, y es más común en áreas rurales donde a los cerdos -los portadores de la tenia del cerdo- se les permite deambular libremente y las prácticas de higiene y seguridad alimentaria son deficientes.
Las personas corren mayor riesgo de contraer este tipo de infecciones si se lavan mal las manos o si ingieren agua o alimentos contaminados.
Los autores del informe concluyeron: “Es muy raro que los pacientes contraigan neurocisticercosis fuera de las exposiciones clásicas o de los viajes, y se pensaba que tales casos en Estados Unidos eran inexistentes”.
Dicen que el caso resalta el riesgo de “consumo de carne de cerdo poco cocida” y de la posterior autoinfección. “Históricamente es muy inusual encontrar carne de cerdo infectada en Estados Unidos y nuestro caso puede tener implicaciones para la salud pública”, concluye el informe.






