Terrorífica explicación: tiene 80 años y acaba de descubrir que siempre tuvo una aguja en el cerebro
La mujer encontró ese elemento metálico en su lóbulo parietal al hacerse una tomografía; lo que más la horrorizó fue enterarse quién y con qué atroz finalidad había introducido ese objeto allí
4 minutos de lectura'

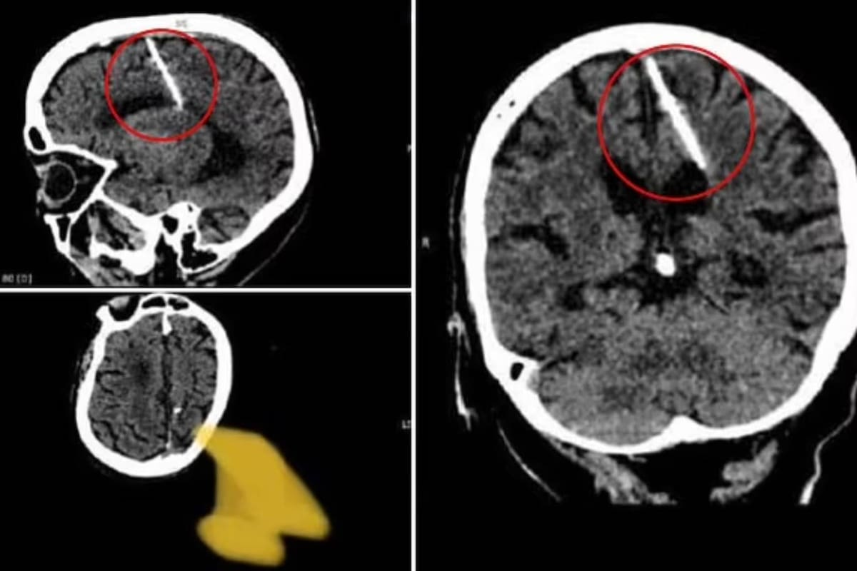
Una mujer de 80 años fue a un centro médico para hacerse una tomografía computarizada de su cerebro. Gracias a ese estudio, cuyo motivo no trascendió, tanto ella como los profesionales que la atendieron descubrieron con gran asombro que tenía insertada, en un sector de su lóbulo parietal izquierdo, una aguja de unos tres centímetros de longitud.
Pero la sorpresa que se llevaron todos se trastocaría en horror cuando se supo cuál era el motivo de la presencia de la aguja en ese lugar tan recóndito de la cabeza de la mujer. Fueron los propios padres de la mujer los que le clavaron ese elemento punzante en la cabeza cuando ella era una beba con la intención de matarla.
El insólito y triste hecho ocurrió en una isla ubicada al norte de Japón pero que actualmente pertenece a Rusia, llamada Sajalín. Tras el descubrimiento inesperado, los médicos decidieron no tocar para nada la aguja (mucho menos intentar retirarla), ya que aparentemente no estaba causando ninguna lesión ni traumas en la mujer y hacer una cirugía cerebral podría ser un verdadero riesgo.

Pero lo que realmente estremeció a los que conocieron el caso fue la explicación de ese hecho. La mujer había sufrido un intento de infanticidio por parte de sus propios padres. Fue en 1943, cuando todo el territorio de la entonces Unión Soviética sufría los efectos devastadores de la guerra en su economía y gran parte de la población padecía una desesperante hambruna.
Sajalín, que hoy tiene alrededor de 480.000 habitantes, estaba en el contexto de la Segunda Guerra Mundial, en un momento en que la URSS estaba defendiéndose de los embates de los alemanes en el frente oriental de la contienda, especialmente en la batalla de Stalingrado. La gran hambruna producida entonces por esta situación provocó la muerte de unas 11 millones de personas.
Entonces, según lo que informó el propio Ministerio de Salud de Sajalín a través de Telegram -así lo consigna el medio británico Daily Mail-, algunos padres “llegaban al extremo de matar a sus hijos recién nacidos” porque no tenían modo de sustentarlos. Y el método utilizado era clavar una aguja en el cerebro de la criatura a través de la fontanela, también conocida como mollera, un punto blando que hay en la cabeza de los bebes y que unifica los diferentes huesos del cráneo.

Como poco tiempo después la fontanela se solidificaba, el crimen de la bebé no dejaba pruebas y sus padres no recibían el castigo merecido por la muerte de la pequeña. Pero en este caso, según explica el Departamento de Salud de Sajalín, “la aguja penetró el lóbulo parietal izquierdo pero no tuvo el efecto deseado: la niña sobrevivió”.
“Estos casos durante la hambruna no eran infrecuentes”, informó también el mismo departamento de salud de la isla ubicada en el Mar de Ojotsk.

Las autoridades de Salud de la isla aseguraron luego que la situación de la paciente no está en peligro con ese elemento instalado en su lóbulo parietal izquierdo, pero está siendo supervisada por personal especializado. El lóbulo parietal izquierdo, según informa el Daily Mail es el sector del cerebro donde se procesa la información sensorial y donde se desarrollan acciones complejas como las matemáticas.
Se desconoce si la anciana evidenciaba algún inconveniente en el desarrollo de esas funciones cerebrales. Lo cierto es que se enteró recién a los 80 años que era una sobreviviente de un intento de infanticidio.
Otras noticias de Virales
Significa flor. Cuál es el nombre japonés de niña que se volvió viral en la Argentina y cada vez más papás eligen
Según el Feng Shui. Cuáles son los beneficios desconocidos de llevar un diente de ajo en el bolsillo del pantalón
Elite. El chico brillante de La Plata: tiene 15 años y representará al país en Shanghái en la Olimpiada Internacional de Matemática
1Franco Colapinto y su Road Show en Palermo: cómo será el espectáculo de Fórmula 1 de este domingo
2Alerta por un ciclón extratropical en el AMBA: a qué hora llega y qué se espera para este domingo
3El negocio inmobiliario que crece en España por los altos precios de las propiedades
4Lele Cristóbal: el outsider que se convirtió en un cocinero popular y enfrenta al fine dining con el “menú de la felicidad”









