Lo hicieron de nuevo: Los Simpson predijeron un invento impensado
La serie animada acertó el futuro de varios acontecimientos que pasaron en el mundo
2 minutos de lectura'

La serie animada de Los Simpson en sus episodios suelen crear situaciones que parecen impensadas. Sin embargo, lo más curioso, es que algunos de ellos se vuelven realidad. Esta vez, el decimoctavo episodio de la novena temporada predijo algo que hoy se consagra como un hecho: la fertilización asistida con robots.
Según una publicación de la revista Technology Review del Instituto Tecnológico de Massachusetts, en abril nacieron las primeras dos bebés provenientes de un tratamiento de inyección de esperma hecho por una máquina.
Aunque, Los Simpson predicen este momento de forma exagerada y cómica, el capítulo “Gorgorito” se anticipó al proceso de fertilización, pues muestran que Homero se sube a un juego que dispara esperma para fecundar a una criatura, en una feria científica de Springfield.

Qué fue lo que pasó en la vida real
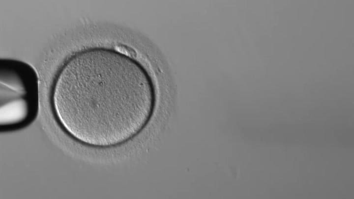
En Barcelona, España, unos ingenieros crearon un robot de inyección de esperma que luego fue enviado a Nueva York, Estados Unidos, para que fuera utilizado en la clínica New Hope Fertility Center. Una vez allí, un experto sin experiencia en fertilidad, usó un control de una PlayStation 5 para colocar una aguja robótica.
“Al observar un óvulo humano a través de una cámara, avanzó por sí solo, penetró en el óvulo y dejó caer un solo espermatozoide. En total, el robot se utilizó para fertilizar más de una docena de óvulos”, escribió el periodista Antonio Regalado en el mencionado medio.
Este invento resultó ser muy exitoso y dio como resultado embriones sanos. Según las declaraciones de los investigadores, el objetivo principal de estos avances es automatizar procesos de la fecundación asistida, para ayudar aquellas personas que tienen dificultades para tener hijos.

Los procesos, como la inyección de esperma, la congelación de óvulos o la crianza de embriones, podrían hacer que la fecundación sea menos costosa y así más personas podrían acceder a ella, según el artículo científico.
Otras noticias de GDA
Medicina tradicional. Cúrcuma y jengibre: ¿qué dice la ciencia sobre los beneficios de estas dos especias?
¿Café con proteína? Expertos analizan beneficios y riesgos del ‘proffee’, la tendencia que conquista las mañanas
"Crecimiento descontrolado de células anormales”. Una oncóloga reveló los alimentos que las mujeres mayores de 50 años deben evitar
1“Me tiró un like”. La historia de amor del jugador de hockey argentino con el primer ministro de los Países Bajos
2El dolor de la muerte la hizo acompañar, con yoga y alimentación, a mujeres en su fertilidad: “El camino de cada una no lo podemos saber”
3El calendario lunar de marzo 2026 en la Argentina
4Pensó que había tomado un trago inofensivo pero murió horas después: “Le puede pasar a cualquiera”









