En la UBA: entrenan a una Inteligencia Artificial para que pueda reconocer el inicio del Alzheimer a través de resonancias magnéticas
Se trata de una investigación en curso en colaboración con Fleni, que es quien aporta las resonancias magnéticas con las que se le está enseñando a la IA
6 minutos de lectura'

Investigadores de la Universidad de Buenos Aires (UBA) están utilizando redes neuronales artificiales para que una Inteligencia Artificial (IA) aprenda a identificar el inicio del Alzheimer en imágenes de resonancias magnéticas. A la vez, ver estas redes neuronales artificiales en acción permite una libertad sin igual para conocer cómo es que funciona el cerebro humano.
En 1950 Alan Turing, conocido como el padre de la IA, se hizo la pregunta de cómo dotar de inteligencia a una computadora. Aquellos pioneros de los años 50 diagramaron de forma teórica lo que hoy se aplica en todos lados, que consiste en usar redes de neuronas como modelo para que una computadora pueda ser inteligente. Es decir, emular la interconexión de las neuronas del cerebro humano.
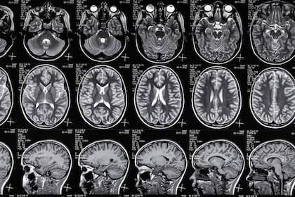
Quien explica el trabajo que se lleva adelante en la UBA es Diego Fernández Slezak, investigador del Instituto de Ciencias de la Computación UBA/CONICET y profesor en la Facultad de Ciencias Exactas y Naturales de la UBA: “Nosotros usamos la IA para codificar el cerebro. Cuando se le hace una resonancia magnética al cerebro de una persona, lo que vemos son píxeles o vóxeles de colores, que son pedacitos del cerebro que se iluminan o no se iluminan en función de lo que está pasando en esa zona del cerebro. Si lo que se ilumina es normal o no, es difícil de identificar incluso para los especialistas. Entonces, la IA toma las imágenes, las codifica, y devuelve índices que podrían permitir asociarlos a patologías, como por ejemplo Alzheimer, bipolaridad, ACV o epilepsia”.
El trabajo que está haciendo Fernández Slezak y colegas es el de reconocer un patrón en las imágenes de resonancias magnéticas del cerebro que le permita a una computadora con inteligencia artificial identificar el Alzheimer de forma temprana.
“Ahora estamos trabajando con imágenes y cómo codificar, con resonancias magnéticas del cerebro, atributos que lleven al Alzheimer”, sumó el experto en un texto difundido por la universidad porteña y sumó: “Esta es una enfermedad muy bien caracterizada, y que está en constante estudio. Actualmente, existen muy buenos tratamientos para retrasar los efectos que afectan la calidad de vida, así es que detectarlo a tiempo es algo vital”.

Se trata de una investigación en curso en colaboración con la Fundación para la Lucha contra las Enfermedades Neurológicas de la Infancia (Fleni), que es quien aporta las resonancias magnéticas con las que se le está enseñando a la IA. Para que pueda conocer todo el camino que lleva a una enfermedad como el Alzheimer, se inicia con lo que se conoce como queja subjetiva de un paciente. Es decir, alguien que tiene olvidos, o se confunde los nombres.
Los especialistas entonces le realizan al paciente una batería de estudios, entre los que se encuentra la resonancia magnética, para saber si esa queja subjetiva efectivamente se corresponde con un problema cerebral real. Esto podría ser el inicio de una demencia que podría luego degenerar en Alzheimer, o tal vez una afasia, u otra patología cerebral.
“El Fleni tiene una base de datos de miles de resonancias viejas”, contó el experto y agregó: “Nosotros lo que hacemos primero es que la IA codifique la estructura del cerebro, y después lo que tenemos que hacer es asociar esa estructura a las distintas patologías. Se ve en el historial de diagnóstico, y se ve si una dirección dada de la estructura del cerebro, es la dirección del Alzheimer, o de cada una de las otras patologías”.
“Una ventaja de trabajar con una red neuronal artificial es que la podemos desarmar y disecar como queramos, para estudiarla hasta en el más mínimo detalle. Los que hacemos inteligencia artificial desde la neurociencia, buscamos que lo artificial nos permita aprender sobre la estructura del cerebro humano, y al revés. Cómo están codificadas las cosas, es un ida y vuelta”, explicó Fernández Slezak, que fue galardonado recientemente con el Premio Konex de la Ciencia y la Tecnología 2023. También, en 2016, fue recibió el Premio a la Investigación de Google, ambos por el trabajo que viene realizando con Inteligencia Artificial aplicada a neurociencias desde hace más de diez años.

Las inteligencias artificiales funcionan con lo que se conoce como redes neuronales, incluso el ChatGPT, tan famoso en la actualidad por responder todo tipo de consultas. Se trata de un método que permite a las IA procesar datos de una forma inspirada en cómo lo hace el cerebro humano.
Utiliza nodos que están interconectados en una estructura de capas, muy similar a cómo funcionan las neuronas biológicas. Es un sistema que les permite a las computadoras aprender de sus errores y mejorar de forma continua. Establecen relaciones entre los datos con los que se las alimenta, aportando resultados complejos.
El investigador sumó: “La forma en que estas redes neuronales artificiales aprenden, tiene que ver con cómo nosotros representamos la información en nuestra cabeza. Nuestra idea es estudiar cómo es que hace eso en nichos muy pequeños y donde tengamos cierto control. El lenguaje es uno de esos ámbitos, es decir, cómo aprende una IA a escribir”.
“La asociación libre entre palabras, que es algo automático en nosotros, también ocurre de forma automática en estas redes artificiales. Por ejemplo, si te digo plaza, decís pasto, y así con gran cantidad de palabras. Eso permite ir viendo cómo están relacionadas las ideas en el cerebro. Eso estamos haciendo con la red neuronal artificial para ver qué paralelismo hay con cómo funciona la mente humana”, ejemplificó el experto.
Fernández Slezak explicó: “Si bien a las personas podemos hacerles resonancias magnéticas para ver cómo funciona su cerebro cuando asocia palabras, no podemos tener el grado de detalle que nos permite estudiar la red neuronal cuando hace lo mismo. Y entonces puede ayudarnos a comprender cómo se representa la información en nuestro cerebro”.
En el comunicado también se expuso: “Lo interesante del paralelismo entre cómo procesa la información la inteligencia artificial y el cerebro humano es que justamente hay un desconocimiento en cómo es el funcionamiento. No se sabe por qué 100 mil bolitas o nodos conectados con pesos que son probabilidades de conexión entre una y otra logra representar bien el lenguaje, como una IA al estilo de ChatGPT. Tampoco está claro cómo mil millones de neuronas logran que un ser humano represente el lenguaje”.
“Se sabe que el algoritmo matemático de una red neuronal artificial va adaptando los pesos de los nodos o neuronas, pero se desconoce por qué una estructura de red con ciertos pesos resuelve muy bien un problema dado. Lo mismo para su paralelo biológico. Por eso es que resulta útil poder comprender la forma en que ‘piensa’ una inteligencia artificial, para terminar de comprender cómo y por qué el ser humano piensa como piensa”, cerraron desde la UBA.
1La enigmática visita de “MBZ”: el exclusivo complejo a una hora de Bariloche donde se alojaría el emir de Abu Dhabi
2Detox digital: el tratamiento que recomiendan para adolescentes con excesiva dependencia de las pantallas
3Ciudadanía italiana: Hito Mundial, el Estudio De.Martin & Asociados gana el primer juicio luego de la entrada en vigor de la Ley 74/2025 y rescata a millones de descendientes a nivel global
- 4
¿Hay paro en el aeropuerto de Ezeiza este jueves 26 de febrero?





