Chris Weidman mostró cómo quedó su pierna tras su impresionante fractura
El luchador estadounidense de UFC sufrió hace unos días una escalofriante lesión en la tibia y el peroné que lo obligó a salir del ring llorando y en camilla
2 minutos de lectura'

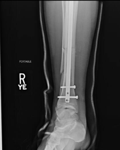
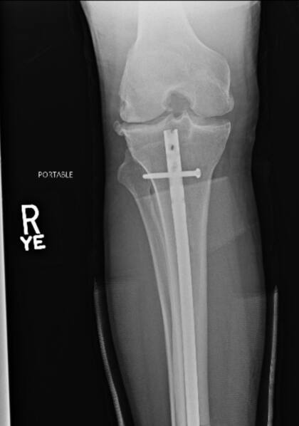
El sábado pasado, Chris Weidman se rompió la pierna en pleno combate contra Uriah Hall. Cuando apenas habían pasado 17 segundos del primer round entre los luchadores de UFC, el neoyorquino de 36 años le lanzó una patada al jamaiquino de su misma edad y terminó tumbado en el piso con una fractura de tibia y peroné. Ahora, el peleador de artes marciales mixtas mostró cómo quedó tras pasar por el quirófano.

“Algunas radiografías antes y después de la operación”, escribió en Twitter, junto a un par de imágenes donde mostraba cómo tenía la pierna apenas fue hospitalizado y cómo le quedó tras la cirugía, donde le colocaron una serie de clavos.


En una entrevista con el medio norteamericano TMZ, Weidman contó que le pusieron una varilla de titanio a través de la tibia y dijo que también se le había roto el peroné. Tal lesión lo obligará a estar entre seis y 12 meses en reposo para poder volver a los entrenamientos.


Asimismo, el luchador de UFC señaló que probablemente tengan que pasar dos meses hasta que pueda volver a caminar sin la ayuda de las muletas. Por último, expresó: “Estoy muy agradecido por todo el amor y el apoyo que recibí”.
Otras noticias de UFC Fotos
Artes Marciales Mixtas. El KO en segundos que llevó al salteño Esteban Ribovics a conseguir su primer contrato con la UFC
“Felicitaciones, es un asesino”. El brutal KO en UFC del que hablan todos en las redes sociales
Estalló. Ponzinibbio dejó el octágono tras escuchar el falló de su pelea y les mandó un mensaje a los árbitros
- 1
TV del Mundial 2026: se conoció el calendario de partidos, con los tres canales para la Argentina
2Diez años de Gianni Infantino: la FIFA made in USA y un regalo para Donald Trump
- 3
Ka Ying Rising, la estrella de la velocidad que llegó a los 18 éxitos seguidos, desafía los límites y no podrá tener crías
4Remeras pro AFA en el Nuevo Gasómetro: cómo surgió y qué dijo Claudio “Chiqui” Tapia sobre la iniciativa








