Se tragó una aguja de tres centímetros mientras comía un sándwich y le perforó el esófago
Le había quedado alojada entre la aorta y la vértebra; tuvo que ser operado de emergencia en el Hospital Durand
2 minutos de lectura'

Maximiliano Ibarra tiene 44 años y durante los primeros días de marzo se tragó, por accidente, una aguja de tres centímetros y medio que estaba adentro de un sándwich que estaba comiendo. Al ingerirla, el hombre empezó a sentir un fuerte dolor en medio del pecho, más precisamente en la zona del esternón. Ante la duda, decidió hacer una consulta médica.
Tras verse con especialistas, fue trasladado al Hospital Pirovano donde quedó internado y comenzó el proceso médico para poder remover la aguja de su cuerpo. Internado desde el día 7 de marzo, Ibarra fue revisado por varios especialistas hasta que, finalmente, se decidió trasladarlo al Hospital Durand.
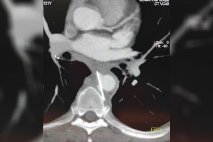
“Hoy operamos al paciente que ingresó hace una semana desde el Pirovano. Ahora está siendo monitoreado para ver cómo evoluciona”, expresó Adrián Desiderio, quien es Jefe de Cirugía del ya mencionado Hospital Durand, en diálogo con la agencia Noticias Argentinas. “La aguja era de tres centímetros y medio, perforó el esófago y quedó alojada entre la aorta y la vértebra”, completó.
Fue gracias a una tomografía computada que el objeto pudo ser identificado y, mediante la aplicación de un stent, comenzó el tratamiento para finalmente retirarla. “Tomamos la determinación de sacarla porque puede migrar y provocar daños mayores en el cuerpo”, precisó el médico. Si bien ahora comenzará un post operatorio que llevará varios meses, los médicos expresaron que con el tiempo logrará volver a una vida normal.

Por otro lado, Desiderio catalogó a este caso como “único” debido a que, por lo general, cuando una aguja ingresa al cuerpo suele producir una infección que, en su mayoría, deriva en la muerte de los pacientes.
Otras noticias de Trends
1Así funciona el Tirzepatida en el metabolismo, la nueva droga para adelgazar con pocas contraindicaciones
2Tragedia en Bariloche: dos jubilados murieron tras caer por un barranco
- 3
Hay alerta naranja por tormentas para este lunes 22 de diciembre: las provincias afectadas
4Casa Rocca: preocupa el deterioro de un emblemático edificio platense construido hace casi 100 años








