

Encontrá resultados de fútbol en vivo, los próximos partidos, las tablas de posiciones, y todas las estadísticas de los principales torneos del mundo.

Existen algunos deportes, principalmente fútbol, básquet y ski que pueden producir roturas de ligamento cruzado anterior. “Este es un desgarro frecuente. Entre los ligamentos de la rodilla es el más común, junto con el colateral medial y después de las lesiones meniscales", agirma el Dr. Pablo Schvartzman (M.N. 120107), Jefe del Departamento de Músculo Esquelético del Centro Médico Deragopyan
“El síntoma más común es sentir un dolor, generalmente difuso y manifestar inestabilidad al caminar. Otros síntomas típicos son sentir dolor con inflamación, pérdida del rango completo de movimiento, dolor a la presión a lo largo de la línea articular e incomodidad al caminar. Para orientar el diagnóstico es importante el uso de las maniobras semiológicas por parte del traumatólogo, en especial la de Lachman”, detalla el Dr. Schvartzman.

Las maniobras semiológicas son procedimientos efectuados de manera directa o con instrumentos simples, basado en los sentidos del médico, que permiten reconocer en el paciente elementos que orienten el diagnostico.
Y agrega: “los atletas que participan en deportes de alta demanda tienen más probabilidades de lesionarse los ligamentos cruzados anteriores”. Estas lesiones son más frecuentes cuando se realiza una actividad física, sin calentamiento y preparación previa, ya que se manifiesta como una maniobra de inestabilidad (rotación externa en valgo). Esto se produce cuando se cambia rápidamente de dirección durante el ejercicio, al detenerse súbitamente cuando se desacelera mientras se corre. También es muy común cuando se aterriza incorrectamente luego de un salto, por contacto directo o una colisión (golpe).
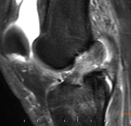
El ligamento cruzado anterior es una estructura que se encuentra en el interior de la articulación de la rodilla. Se junta con el ligamento cruzado posterior formando una "X" y entre ambos controlan el movimiento de la rodilla hacia atrás y hacia adelante. El ligamento cruzado anterior está situado de manera diagonal en la mitad de la rodilla y previene que la tibia se salga de posición y provee estabilidad rotacional a la rodilla.
Si bien el diagnóstico puede realizarse con el examen físico (las maniobras semiológicas mencionadas). Los métodos por imágenes son imprescindibles para su confirmación y evaluación del resto de las estructuras (meniscos, hueso). Es importante realizarlos en un lugar confiable y donde los médicos radiólogos tengan comunicación con los traumatólogos. La resonancia magnética es el estudio de elección.
Para una mejor visualización, la resonancia magnética debe realizarse en un equipo de alto campo (1.5 tesla o 3 tesla) que permiten ver lesiones óseas en meniscos u otros ligamentos en profundidad. En cambio, la tomografía computada, sirve para visualizar lesiones asociadas del hueso, con una limitada visualización de partes blandas. En tanto, con una ecografía no se logra visualizar los ligamentos cruzados, ya que son estructuras profundas.

“Luego del diagnóstico, el tratamiento para un desgarro de ligamento cruzado anterior variará según las necesidades individuales de cada paciente. Lo más probable es que el atleta que realiza deportes con regularidad requiera cirugía para retomar los deportes de manera segura. En cambio, una persona menos activa, generalmente de edad más avanzada, podrá regresar a un estilo de vida más sedentaria sin someterse a una cirugía”, confirma Schvartzman.
En cualquiera de los dos casos, la rehabilitación juega un papel fundamental para retomar las actividades diarias. Un programa de terapia física ayudará al paciente a recuperar la fuerza y el movimiento de la rodilla, siempre bajo la supervisión del traumatólogo, kinesiólogo y nutricionista para seguir el proceso.
Para evitar este tipo de lesiones, el Dr. Schvartzman concluye con algunas recomendaciones como: “entrenar bien para fortalecer la musculatura, optar por un calzado adecuado, una buena elongación y calentamiento previo a la actividad física”.



