Cómo es la intervención quirúrgica en el corazón que le hicieron a Elisa Carrió
La diputada nacional fue sometida a una angioplastia coronaria ocasionada por una obstrucción arterial; debieron colocarle dos stents
1 minuto de lectura'


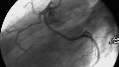
Esta tarde se conoció la noticia del procedimiento quirúrgico en el corazón al que fue sometida hoy la diputada nacional Elisa Carrió. Se trató de una angioplastia por una lesión severa de la arteria circunfleja, por lo que fue necesario la colocación de dos stents.
La intervención fue realizada en el Hospital Universitario Austral esta mañana y la diputada se encuentra con un buen estado de salud tras el procedimiento, informó la institución médica.
"Lilita se encuentra descansando y recuperándose favorablemente" en una habitación de la Unidad Coronaria del Austral, indicó el escrito.
¿Qué es una angioplastia en la arteria cincunfleja?
Nuestro corazón está nutrido y oxigenado por su propio sistema vascular: dos arterias coronarias principales, distribuidas a derecha e izquierda.

Estas arterias se ramifican desde la base de la arteria aorta y rodean el músculo cardíaco en el llamado surco coronario, localizado en la unión de las aurículas (situadas en la parte superior) y los ventrículos (en la parte inferior), lo que forma la circulación coronaria.
“En la parte izquierda del corazón, hay dos arterias: la Descendete Anterior y la Circunfleja, que fue la afectada en la paciente Carrió”, explicó a LA NACION el doctor Oscar Mendiz, jefe del servicio de Hemodinamia de la Fundación Favaloro.
“Si esas arterias, que son las que llevan oxígeno al corazón, se tapan debido a una acumulación de grasas, calcio, colesterol o células, puede ocasionar dolores de pecho, desmayos y hasta infartos”, agregó el especialista que también es director del Instituto de Cardiología y cirugía cardiovascular en la prestigiosa institución.
Los profesionales que atendieron a Carrió decidieron debía ser operada luego de realizarle un estudio angiográfico de las arterias coronarias, lo que permitió finalmente detectar la dolencia mencionada.

Fue la propia "Lilita", la que el sábado pasado, en un diálogo telefónico que mantuvo con Mirtha Legrand, reveló sus problemas cardíacos al explicar que sintió “una opresión en el pecho" que derivó en una consulta médica. "Me fui a hacer las manos para ir al programa esta noche y terminé en el hospital Austral", bromeó "Lilita".
También reveló que con anterioridad padecía "problemas cardíacos" y que un año atrás había sufrido un infarto, pero que nadie se lo había dicho. "Había estado en terapia intensiva pero no me dijeron que fue un problema de esa magnitud", contó.
Angioplastia con stents
Según el sitio Wikicardio, elaborado por la Sociedad Argentina de Cardiología, (SAC) la angioplastia es un procedimiento mínimamente invasivo que se realiza dentro de los vasos sanguíneos para restituir o aumentar el flujo de sangre.
Se realiza en diferentes vasos sanguíneos: arterias coronarias (irrigan al corazón), arterias periféricas (irrigan los brazos y las piernas), arterias carótidas (irrigan el cerebro).

“La intervención consiste en la introducción de un tubo delgado (catéter) a través de una vena o arteria hasta llegar al sitio donde hay una obstrucción causada por una placa de colesterol o un coágulo. Allí, se infla un balón, colocado en el extremo del tubo, para abrir la luz de la arteria y restaurar el flujo sanguíneo. En algunos casos, se deja colocado un stent para que el vaso permanezca abierto”, afirma el sitio especializado en todo lo relacionado al corazón.
El doctor Daniel Berrocal, presidente de la SAC precisó que a la angiplastia se la vincula mucho con el stent, que es una herramienta más en el procedimiento. "Es un andamio que sostiene las paredes de la arteria. A veces puede generar una reacción que puede bloquear la arteria con una cicatrización acelerada, por lo que las formulaciones nuevas de stent traen medicamentos".
Y agregó: "El bloqueo en la arteria se produce por un proceso natural de envejecimiento, pero también hay factores de riesgo que inciden. Y se los llama así porque no hay una sola causa. Al hablar de enfermedad cardiovascular, se la puede vincular con estrés, tabaquismo, hipertensión, diabetes, sobrepeso, colesterol e inclusive factores hereditarios, en algunos casos".
La angioplastia permite que se normalice la circulación de la sangre (revascularización). No se trata de una cirugía, ya que no se realizan grandes incisiones sino sólo pequeñas punciones. Generalmente, el paciente está despierto o bajo una mínima anestesia.
El doctor Mendiz explicó que existen tres diferentes etapas en las que llega un paciente a someterse a una angioplastia: en una situación de emergencia, como lo es un infarto; cuando llega con dolores en el pecho reciente (preinfarto); o cuando se le realiza un estudio de control como una ecografía de esfuerzo, una ergometría o cámara gama que refleja un problema coronario.

“Con un equipo especializado de rayos X y la introducción de líquido de contraste se observa la arteria tapada y se determinan los pasos a seguir para solucionar el problema: toma de medicación, una angioplastia, o una cirugía de bypass, que es un procedimiento más complejo”, afirmó Mendiz.
Y agregó: “En la angioplastia coronaria, a través de un catéter desde la arteria de la mano o muñeca, se hace llegar a la arteria obstruida un balón inflable que va a descomprimir las paredes oprimidas, abriendo paso a la sangre para que circule. Luego, si es necesario, se coloca un stent, que es una malla metálica que se expande, queda adherido a las paredes de la arteria y libera un medicamento para que no se vuelva a estrechar”.
1Hay alerta amarilla por tormentas y lluvias para este sábado 28 de febrero: las provincias afectadas
- 2
Cómo será la futura Autopista Parque que va a cambiar el principal acceso sur a la ciudad
3El ejercicio de diez segundos que ayuda a prevenir enfermedades y mejora la masa muscular
4El edulcorante más barato que el azúcar y presente en muchos alimentos que tenés que evitar






