El impensado cambio de diagnóstico que aterró a una paciente: “Ameba come cerebros”
En China, una paciente descubrió que enfrentaba una enfermedad irreversible y su caso aterró a todo el mundo; ¿por qué se consideró a la situación como “asesino invisible”?
4 minutos de lectura'

Hace días se convirtió en viral la historia de una mujer que puso en alerta a las comunidades rurales por un parásito potencialmente letal que ingresaría al cuerpo humano, se instalaría en el cerebro y produciría una muerte dolorosa. La paciente, de origen chino cuyo nombre se mantuvo en el anonimato, murió luego de que los médicos confundieran un tumor en su cabeza con una “ameba come cerebros”.
Las redes están colmadas de hechos aterradores, en particular, muchos de ellos suelen servir de experiencia para otros usuarios. Según informó el Daily Mail, el caso de esta mujer de 77 años generó conmoción en el gigante asiático debido a su muerte dolorosa, que atemorizó al resto de la población local.
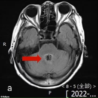
Según detalló el medio citado, la mujer asistió al hospital porque tenía dolor de cabeza, mareos, confusión y dificultad para hablar. En un estudio preliminar por resonancia, los médicos determinaron que tenía cáncer, en particular por la lesión en el cerebro que era evidente. Sin embargo, a los pocos días le realizaron una punción lumbar -para extraer líquido necesario para analizar- y el resultado fue mucho más angustiante.

La mujer estaba infectada con la ameba Balamuthia mandrillaris, que se instala en el cerebro y se alimenta de este. El nombre propio de la enfermedad se denomina encefalitis granulomatosa amebiana y cuatro tipos de ellas pueden ser letales.
Justamente la especie que afectó a la mujer asiática se encuentra en la tierra, el polvo y el agua. El lugar común es en espacios rurales, alejados de los centros urbanos, y allí es donde se presume que la víctima fue afectada por esta ameba asesina. La infección se da cuando se está en contacto con ella a través de heridas abiertas o por vía respiratoria.
La paciente pasó ocho días internada y su salud comenzó a deteriorarse poco a poco. Las vías respiratorias se obstruyeron, por lo que le colocaron un respirador. Y si bien se la atendió con todos los medicamentos disponibles, no se pudo hacer más nada por ella. Según explicaron, cuando se tornó intensivo el tratamiento, el organismo celular incrustado en su cerebro reaccionó mucho peor.
Balamuthia mandrillaris, la ameba a la que todos le temen
Según el sitio oficial Balamuthia, este organismo unicelular tiene la capacidad de vivir como parásito o como ameba, al aire libre y sin hospedador. Su distribución es mundial y además de la tierra está presente en el agua dulce estancada, como por ejemplo, lagos y lagunas sin circulación.
Se cree que la transmisión en humanos se da mediante la respiración de los quistes o trofozoitos y la inoculación cutánea directa. Esta infección se disemina por vía hematógena hasta el sistema nervioso central o mediante el sistema olfatorio. En casos extremos, se produce por trasplante de órganos sólidos.

Este organismo fue descrito por primera vez en 1986 y se descubrió que al tener la capacidad de también ser parásito, podría vivir en animales. A partir de su hallazgo, se notificaron 200 muertes en todo el mundo, de las cuales 100 sucedieron en los Estados Unidos.
Los síntomas clínicos son: “Cefalea, rigidez de cuello, insensibilidad a la luz, fiebre, hemiparesia, ataxia etc. La enfermedad puede desarrollarse lentamente al principio, pero volverse más severa en semanas o meses. Una vez invadido el sistema nervioso central, el resultado fatal puede ocurrir en días o semanas”, detalló el artículo citado.
Otras noticias de Virales
1Una automotriz lanza la nueva versión de su pickup con precio y equipamiento confirmado
2La historia de amor jamás contada de Andrea del Boca y Gerardo Sofovich: “¿Si estamos enamorados? Ojalá"
3Le jugaron una broma de mal gusto a su profesor de secundaria y murió
4Los posibles escenarios que enfrenta Irán y la “falta de estrategia” de EE.UU., según el experto europeo Bruno Tertrais









