La reacción de la red de milicias proiraníes a la ofensiva de Washington y Tel Aviv
Casas hechas con contenedores: precios, medidas y ventajas
Circuitos por pequeños pueblos con historia y paradas estratégicas para comer
Divina Gloria: su sorpresiva salida de Gran Hermano y la decisión que tomó
Por qué los que compraron un terreno en 2023 hicieron un buen negocio
Qué efectos tiene el durazno en el cuerpo y quiénes no deberían consumirlo
Créditos hipotecarios: un banco privado bajó más de 5 puntos su tasa de interés
Guerra en Medio Oriente: un analista internacional explicó la diferencia entre Irán y Venezuela y reveló el plan de Trump
Paro docente, en vivo: a qué hora es la marcha al Congreso y cómo es el mapa de cortes
Cuánto cobran albañiles, oficiales y ayudantes en la construcción o remodelación de una casa
ARBA extendió el plazo de pago de los impuestos inmobiliarios del 2026
Una neurocientífica canadiense explica qué ocurre en el cerebro cuando el estrés se vuelve crónico
Así está la construcción del edificio más alto del mundo
Qué beneficios tienen para el cuerpo y cómo cocinarlas para aprovechar al máximo su hierro
¿Cuánto cuesta vivir en la calle más cara de la Ciudad?
Los clubes analizan cambiar la decisión: las dos razones para evitar la medida de fuerza
En este barrio el alquiler no aumenta desde hace 500 años
Coleccionista, anfitriona de políticos y artistas, dos veces viuda a los 56: “No se trata de poner cuadros bonitos en tu casa”
La liberación de Nahuel Gallo: qué se sabe del regreso y las primeras horas del gendarme en la Argentina
La sorprendió de atrás con una patada salvaje y la tiró al piso para robarla
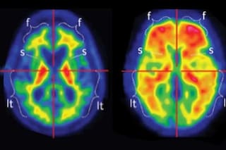
Impensados pero prometedores efectos contra la demencia: la opinión de los especialistas
Chipre, la isla estratégica que quedó en la primera línea de la guerra en Medio Oriente
Un especialista reveló cuál es el carbohidrato más fácil de digerir y que pocos incorporan a su dieta diaria
El edulcorante más barato que el azúcar y presente en muchos alimentos que tenés que evitar
El ejercicio de diez segundos que ayuda a prevenir enfermedades y mejora la masa muscular
Calor en aumento: el dato que puede revelarnos la orina y que debemos atender cuanto antes en verano
Una guerra en Irán podría provocar la mayor crisis petrolera en años, que podría afectar a la Argentina
Ideas de viandas saludables: con nutrientes y muy fáciles de hacer
Cómo impacta la genética en la longevidad y qué otros factores ayudan a lograrla
Más leídas
1Cuándo entra en vigencia la reforma laboral de Milei que sancionó el Congreso
2La trastienda de la liberación de Gallo: una jugada sigilosa de Venezuela y de la AFA que dejó en offside al Gobierno
3Caso $LIBRA: peritos oficiales hallaron copias de un borrador de “acuerdo confidencial” entre Milei y Hayden Davis
- 4
La guerra en Medio Oriente se expande a múltiples frentes y crece la alarma mundial


























